このページの本文へ

光干渉断層計「Xephilio」シリーズの新製品 超広角眼底三次元撮影を実現した"OCT-S1"を発売

2019年10月16日

キヤノン株式会社
キヤノンマーケティングジャパン株式会社
キヤノンライフケアソリューションズ株式会社



キヤノンは、スキャン幅約23mm、深さ約5.3mmの超広角OCT画像を撮影できるSS-OCT(波長掃引式(そういんしき)光干渉断層計)の新製品として"OCT-S1"を2019年10月24日より発売します。

  • Swept-Source Optical Coherence Tomographyの略。光の出力波長を連続的に切替えることができるレーザー光源を使用した光干渉断層計。
OCT-S1
眼底のOCT断層画像
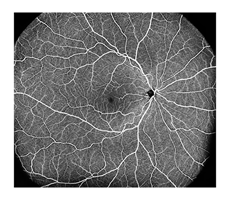
網膜のOCTA画像

発売情報

OCT-S1(医療機器認証番号:301ABBZX00044000)

価格
3,500万円(税別)
発売日
2019年10月24日

おもな特長

光干渉断層計は、眼の奥にある網膜の構造を画像化する眼科機器で、新製品"OCT-S1"は、「OCT-A1(2019年4月発売)」の上位機種です。"OCT-S1"ではレーザー光源に波長掃引式光源を採用し、これまでは捉えるのが困難だった広範囲かつ深部に至るまでの眼底三次元画像を一度の撮影で取得することが可能となり、大学病院や専門性の高い眼科医療施設での研究や診断に貢献します。

スキャン幅約23㎜・深さ約5.3㎜の超広角眼底網膜画像を一度で撮影

レーザー光源に波長掃引式光源を採用し、スキャン幅約23mm、深さ約5.3mmの超広角撮影を実現しており、硝子体から網膜・脈絡膜・強膜境界部までの広範囲を一度の撮影で高精細に画像化することができます。また、OCTA※1画像や網膜の正面投影像であるEnFace(アンファス)画像※2、網膜の厚みの分布を色で表示するMAP表示も、約80度の超広角で観察ができます。さらに、パノラマ合成機能使用時は、約110度※3のOCTAとEnFace画像の取得が可能です。1枚の画像で眼底の周辺および深部を明瞭かつ多面的に把握することできるため、眼疾患等の早期発見や経過観察に貢献します。

AI技術を用いたノイズ低減処理により短時間で高精細なOCTA画像を生成

ディープラーニング技術を用いて設計した独自の画像処理技術「Intelligent denoise」を標準搭載しています。わずか1回のスキャンで、OCTA画像からノイズを選択的に除去し、血管の細部まで可視化された高精細画像を取得できるため、検査時間の短縮も可能です。

高い操作性や本体デザインにより撮影負荷を軽減

フォーカスの自動調整やオートトラッキングはもちろん、操作性を考慮したジョイスティックを採用しているため、狙った位置をすばやく撮影することが可能です。開瞼(かいけん)補助が必要な場合などに、スムーズに被検者へ手が届く本体デザインと合わせて、被検者の状態や撮影条件に応じた柔軟な操作を可能としています。

  • ※1
    Optical Coherence Tomography Angiographyの略。眼底三次元画像から血管形態を描出する画像処理技術。
  • ※2
    3次元断層データから網膜に対して水平面を再構成した画像。二次元像で眼底を観察することができる。
  • ※3
    内部固視灯による固視誘導で撮影した場合を想定した画角。

ご参考

2019年10月24日(木)から27日(日)まで、国立京都国際会館およびグランドプリンスホテル京都で開催される「第73回日本臨床眼科学会」で併設する器械展示会のキヤノンブースにおいて、"OCT-S1"の展示を行う予定です。

OCTの用途と市場動向

眼科市場におけるOCT装置は、黄斑や視神経乳頭など網膜の断層を検査するもので、眼底および眼底断層像を観察・撮影・記録することで疾患の詳細が判断できるようになり、眼科系疾患の診断・治療方針の決定などにおいてなくてはならないものとなっています。OCTAは、平成30年度診療報酬改訂にて保険収載されたことにより、OCTAを搭載した機器の普及がさらに加速すると考えられます。

関連情報

この件に関するお問合せ先

お客さまからのお問合せ先

キヤノンライフケアソリューションズ株式会社ヘルスケアマーケティング部
電話番号 03-6719-7040(直通)

報道機関からのお問合せ先

キヤノンマーケティングジャパン株式会社広報部
報道関係者の方からのお問い合せは、下記リンク先よりお問い合せください。

画像ダウンロード

本ページに掲載されている画像、文書その他データの著作権はニュースリリース発行元に帰属します。
また、報道用途以外の商用利用(宣伝、マーケティング、商品化を含む)において、無断で複製、転載することは、著作権者の権利の侵害となります。